Elton Alisson | Agência FAPESP – Ao acompanhar, desde o início do ano passado, pacientes homens que tiveram COVID-19, o andrologista Jorge Hallak, professor da Faculdade de Medicina da Universidade de São Paulo (FM-USP) e coodernador do Grupo de Estudos em Saúde do Homem do Instituto de Estudos Avançados (IEA-USP), começou a observar que os resultados de exames de fertilidade e hormonais deles permanecem alterados mesmo meses após se recuperarem da doença.
Apesar de ser um teste inicial e não ter condições de diagnosticar fertilidade ou infertilidade, o espermograma de vários pacientes tem indicado, por exemplo, que a motilidade espermática – a capacidade de os espermatozoides se moverem e fertilizarem o óvulo, cujo índice normal é acima de 50% –caiu para entre 8% e 12% e permaneceu nesse patamar quase um ano após terem sido infectados pelo SARS-CoV-2. Já os testes hormonais apontam que os níveis de testosterona de muitos deles também despencaramapós a doença. Enquanto o nível normal desse hormônio é de 300 a 500 nanogramas por decilitro de sangue (ng/dL), em pacientes que tiveram COVID-19 esse índice chegou a variar abaixo de 200 e, muitas vezes, ficou entre 70 e 80 ng/dL
“Temos visto, cada vez mais, alterações prolongadas na qualidade do sêmen e dos hormônios de pacientes que tiveram COVID-19, mesmo naqueles que apresentaram quadro leve ou assintomático”, diz Hallak à Agência FAPESP.
Alguns estudos feitos pelo pesquisador em colaboração com colegas do Departamento de Patologia da FM-USP, publicados nos últimos meses, têm ajudado a elucidar essas observações feitas na prática clínica.
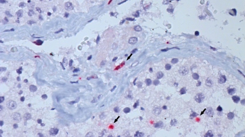
Os pesquisadores constataram que o SARS-CoV-2 também infecta os testículos, prejudicando a capacidade das gônadas masculinas de produzir espermatozoides e hormônios.
“É muito preocupante como o novo coronavírus afeta os testículos, mesmo nos casos assintomáticos ou pouco sintomáticos da doença. Entre todos os agentes prejudiciais aos testículos que estudei até hoje, o SARS-CoV-2 parece ser muito atuante”, afirma Hallak. “Cada patologia tem particularidades que a prática e a experiência nos demonstram. O SARS-CoV-2 tem a característica de afetar a espermatogênese. Estamos descobrindo os mecanismos envolvidos, como motilidade progressiva persistentemente muito baixa e morfologia bem alterada, sem mudançada concentração espermática significativa”, diz.
Em um estudo com 26 pacientes que tiveram COVID-19, os pesquisadores verificaram por meio de exames de ultrassom que mais da metade deles apresenta inflamação no epidídimo – estrutura responsável pelo armazenamento dos espermatozoides e onde eles adquirem a capacidade de locomoção.
Os pacientes têm idade média de 33 anos e foramatendidos no Hospital das Clínicas da FM-USP e no Instituto Androscience de Ciência e Inovação em Andrologia. Os resultados do estudo, apoiado pela FAPESP, foram publicados na revista Andrology.
“Ao contrário de uma infecção bacteriana clássica ou por outros vírus, como o da caxumba, que causa inchaço e comumente desconforto ou dor nos testículos em um terço dos acometidos, a epididimite causada pelo novo coronavírus é indolor e não é possível de ser diagnosticada por apalpamento [exame físico] ou a olho nu”, explica Hallak.
Por isso, segundo ele, seria interessante ensinar o autoexame dos testículos como política de saúde pública no pós-pandemia.
“É ideal que os adolescentes, adultos jovens e homens em idade ou com desejo reprodutivo, após serem infectados pelo SARS-CoV-2, procurem um urologista ou andrologista e façam uma consulta com mensuração do volume testicular, dosagem de testosterona e de outros hormônios, além de análises do sêmen com testes de função espermática, seguidos de um exame de ultrassom com Doppler colorido, para verificar se apresentam algum tipo de acometimento testicular que pode afetar a fertilidade e a produção hormonal”, sugere Hallak.
“Esses indivíduos devem ser acompanhados por um a dois anos após a infecção, pelo menos, pois ainda não sabemos como a doença evolui”, aponta.



